
Sel Tubuh Kita yang Berbeda-Beda
Ayo kita berpetualang ke dalam tubuh. Jika kamu menyusut menjadi sebesar sel dan diangkut ke dalam tubuh, di manakah kira-kira kamu akan mendarat, ya? Nah, salah satu cara untuk mengetahuinya adalah mencari tahu jenis-jenis sel yang spesifik. Manusia memiliki sekitar 200 jenis sel yang berbeda. Mari kita simak dua contoh berikut ini: sel otak dan sel darah.

Otak merupakan pengendali utama di tubuh kita. Otak menerima dan mengolah informasi dari lingkungan dan memberitahu organ-organ lainnya apa yang harus dilakukan – contohnya otak memberitahu otot-otot kita untuk berkontraksi, sehingga kita dapat bergerak. Untuk mengirim perintah ini, sel-sel otak harus memindahkan sinyal-sinyal listrik ataupun kimia kepada sel-sel otot yang spesifik. Terkadang sinyal-sinyal ini harus menempuh jarak yang sangat jauh. Agar dapat meneyelesaikan tugasnya, sel otak – disebut juga dengan sel saraf – mengembangkan struktur yang khusus. Jenis sel ini memiliki cabang panjang dari badan sel utamanya yang panjangnya dapat mencapai hingga satu meter. Struktur unik dari sel saraf ini memungkinkannya untuk menyampaikan informasi dari otak di kepala kita menuju otot-otot terjauh di jari kelingking kita dalam waktu yang sangat singkat.
Selanjutnya, mari kita lakukan perjalanan ke dalam pembuluh darah kita dan mengunjungi jenis sel yang lain: sel darah merah si pekerja keras. Sel-sel darah merah mengangkut oksigen dari paru-paru kita ke organ-organ lain agar mereka bisa terus bekerja. Sel-sel kecil ini dapat bergerak ke seluruh tubuh kita dengan sangat cepat – dalam waktu 20 detik. Agar dapat bergerak dengan cepat, struktur seperti yang dimiliki sel saraf tidak akan bekerja dengan baik. Sel-sel saraf yang panjang mungkin akan kusut atau bergerak terlalu lambat dalam pembuluh darah. Sel darah merah berukuran jauh lebih kecil dari sel saraf dan berbentuk cakram yang pipih, keduanya merupakan karakteristik yang baik untuk bergerak cepat melalui ruang yang kecil. Bentuknya yang seperti cakram juga menyediakan permukaan yang luas agar banyak oksigen dapat masuk ke dalam sel darah merah.

Melalui perbandigan ini kamu bisa tahu bahwa bentuk dan fungsi sel dapat bervariasi tergantung di organ mana mereka ditemukan. Bagaimana tubuh kita bisa membentuk bermacam-macam jenis sel, ya? Dan kok bisa mereka melakukan tugas yang berbeda-beda?
Protein yang Berbeda-Beda
Mau jenis sel apapun yang kamu pikirkan, semuanya terbuat dari protein. Protein merupakan molekul besar yang tidak hanya penting untuk membentuk organ-organ tubuhmu, tapi juga melakukan pekerjaan yang penting di dalam tubuh. Sama seperti sel yang jenisnya berbeda-beda, kita juga punya berbagai jenis protein yang fungsinya berbeda-beda. Beberapa diantaranya hanya bertugas untuk membangun struktur sel, sedangkan yang lainnya melakukan tugas-tugas yang spesifik. Sel-sel darah merah memiliki jenis protein khusus, namanya hemoglobin, yang mampu mengikat oksigen dan melepaskannya di jaringan-jaringan lain. Sel saraf tidak memiliki protein ini karena sel saraf tidak perlu mengikat oksigen. Sebaliknya, sel saraf menggunakan protein lain yang membantunya memindahkan sinyal ke sel-sel lainnya. Banyaknya perbedaan di antara sel-sel ini mendatangkan sebuah kesimpulan: Sel yang berbeda-beda memproduksi protein yang berbeda-beda pula.
Produksi Protein

Sel yang jenisnya berbeda-beda dapat memproduksi semua jenis protein yang sama. Kenapa bisa begitu? Sebagian besar jenis sel memiliki persamaan dasar pada strukturnya: Inti selnya adalah nukleus yang mengandung DNA. DNA merupakan molekul yang sangat penting – mungkin merupakan molekul yang paling penting bagi kehidupan di Bumi. DNA membentuk kode genetik yang memegang kendali untuk membangun semua sel-sel tubuh.
Gen merupakan segmen kecil dari DNA yang digunakan oleh sel untuk memproduksi protein tertentu. seluruh sel di tubuh kita mengandung DNA yang sama, dengan sekitar 25,000 gen mengkode 25,000 protein yang berbeda. Tapi tunggu sebentar. Mungkin kamu menyadari masalahnya di sini: tidak semua sel menghasilkan protein yang sama, karena sel yang berbeda memproduksi protein yang berbeda. Jika semua sel mengandung DNA yang sama, kok bisa sel darah memproduksi protein yang berbeda dari sel saraf? Bukankah seharusnya semua sel mengandung protein yang sama dan dengan begitu melakukan tugas yang sama pula?
Meredam Gen
Untuk mengatasi masalah ini, sel menggunakan mekanisme pengendali yang sangat pintar supaya hanya gen yang dibutuhkan saja yang digunakan pada DNA. Gen yang “dibutuhkan” itu bervariasi tergantung jenis selnya. Kamu bisa membandingkan perkembangan sel dengan pengolahan kue muffin cokelat dan bluberi: beberapa bahan seperti telur, terigu, dan susu sama dalam setiap kue muffin, namun dibutuhkan bahan tambahan seperti cokelat atau bluberi untuk menghasilkan cita rasa yang spesifik. Seperti itulah yang terjadi di dalam nukleus: resep yang terdapat di DNA mengandung sederet bahan untuk membentuk semua jenis sel yang memungkinkan. Ketika tumbuh dan berkembang, sel akan menentukan bahan apa saja yang dibutuhkan untuk membangun jenis sel tertentu dan hanya akan menggunakan bahan itu saja dari resep tersebut.

Sementara kue muffin diolah dari susu, telur, dan terigu, bahan-bahan yang digunakan untuk mengolah sel adalah protein. Sebagian besar sel memiliki protein yang sama: sel otot dan sel saraf perlu membangun struktur yang umum seperti mitokondria. Tetapi kedua jenis sel ini juga memiliki bahan-bahan yang unik: sel otot memerlukan protein khusus yang dapat membantu sel-selnya bergerak ketika berkontraksi. Protein-protein ini dinamakan miosin dan aktin. Jadi, sel otot yang masih berkembang harus membaca resep pada setiap gennya untuk memproduksi miosin dan aktin. Sel yang berkembang menjadi sel saraf tidak memerlukan miosin maupun aktin sehingga itu akan menonaktifkan gen-gen ini. Sebagai gantinya, sel saraf akan membaca gen dari protein yang dapat melakukan pengiriman sinyal ke sel-sel lain.
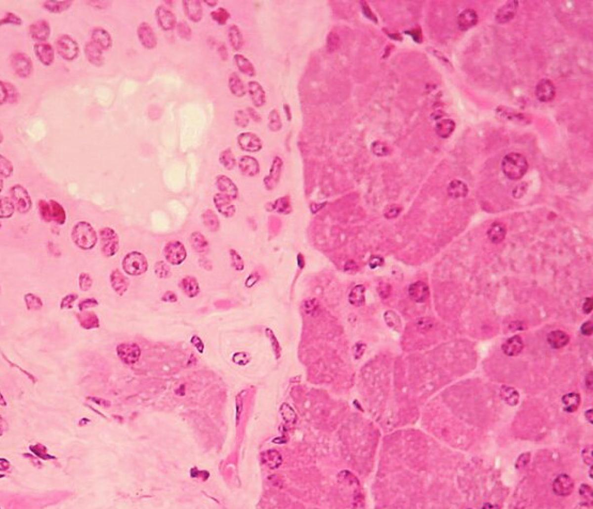
Gambar tambahan melalui Wikimedia Commons. Gambar kelenjar ludah melalui Wbensmith.
También puedes descargar los Trocitos de Biología en los siguientes formatos:
Rincian bibliografi:
- Artikel: Mengendalikan Gen
- Penulis: Dr. Biology
- Penerbit: Arizona State University School of Life Sciences Ask A Biologist
- Nama situs: ASU - Ask A Biologist
- Tanggal diterbitkan: 7 Aug, 2023
- Tanggal diakses:
- Tautan: https://askabiologist.asu.edu/indonesian/ekspresi-gen
APA Style
Dr. Biology. (Mon, 08/07/2023 - 09:27). Mengendalikan Gen. ASU - Ask A Biologist. Retrieved from https://askabiologist.asu.edu/indonesian/ekspresi-gen
Chicago Manual of Style
Dr. Biology. "Mengendalikan Gen". ASU - Ask A Biologist. 07 Aug 2023. https://askabiologist.asu.edu/indonesian/ekspresi-gen
MLA 2017 Style
Dr. Biology. "Mengendalikan Gen". ASU - Ask A Biologist. 07 Aug 2023. ASU - Ask A Biologist, Web. https://askabiologist.asu.edu/indonesian/ekspresi-gen
Kita memiliki sekitar 200 jenis sel yang berbeda di dalam tubuh kita, tapi semuanya dihasilkan dari instruksi yang sama.
Ingin tahu lebih banyak tentang dasar-dasar DNA? Kunjungi cerita kami tentang DNA ABCs.
Controlling Genes
Be Part of
Ask A Biologist
By volunteering, or simply sending us feedback on the site. Scientists, teachers, writers, illustrators, and translators are all important to the program. If you are interested in helping with the website we have a Volunteers page to get the process started.